Туберкулез — это поражение нервных клеток головного мозга, вызванное палочкой Коха (микобактериями). Болезнь трудно поддается лечению и приводит к нарушениям функций нервной системы, что может вызвать серьезные осложнения, включая поражение мозговых тканей и инвалидность. Туберкулез мозга чаще встречается у пациентов, перенесших другие формы заболевания, а также у больных ВИЧ-инфекцией. Инфекция передается гематогенным, лимфогенным или периневральным путем. Полное излечение возможно только при своевременной диагностике. Заражение палочкой Коха опасно, так как затрагивает головной мозг, его оболочки и нервную систему.
Формы заболевания
В медицине выделяют два вида патологий:
- Солитарный туберкул;
- Туберкулезный менингит.
Туберкулезный менингит развивается постепенно. Сначала появляются общее недомогание, повышение температуры, рвота и головокружение. Этот менингит является осложнением других форм туберкулеза. Профилактика включает своевременное лечение заболеваний легких, изоляцию больных и мероприятия по оздоровлению населения.
Солитарный туберкул чаще встречается у детей, чем у взрослых. В начале он может протекать бессимптомно, но может осложниться туберкулезным менингитом. Клиническая картина напоминает опухоль головного мозга, и лечение требует оперативного вмешательства.
Выделяют различные виды туберкулеза мозга в зависимости от локализации поражения:
- Базальный – воспаление в основании мозга, проявляется как менингит и поражение мозговых нервов, трудно диагностируется на ранних стадиях.
- Конвекситальный – сопровождается головными болями, психомоторным возбуждением и нарушением сознания.
- Менингоэнцефалит – симптомы включают поражение нервной системы, это самый опасный тип, часто приводящий к летальному исходу.
- Менингоэнцефаломиелит – сочетает признаки менингеального туберкулеза и нарушения двигательной функции тазовых органов, а также воспаление головного и спинного мозга.
Формы туберкулезного менингита:
- Серозная – начальная форма, редко диагностируется на ранних стадиях, но при своевременном лечении возможен полный выздоровление.
- Базилярная – наиболее распространенная форма, характеризующаяся туберкулезными бугорками на оболочках мозга. При раннем лечении возможен благоприятный исход.
- Менингоэнцефалит – самая опасная форма, часто встречается у детей. Болезнь протекает неравномерно, воспаление может затрагивать сосуды и вещество головного мозга. При интенсивном лечении возможны остаточные последствия и летальный исход.
- Цереброспинальный лептопахименингит – проявляется на оболочках спинного и продолговатого мозга, редко диагностируется на ранних стадиях, инкубационный период составляет 2-7 дней.
Симптомы заболевания
Заражение туберкулезом проявляется по-разному у взрослых и детей, а симптомы зависят от стадии заболевания и усиливаются со временем. На ранних стадиях появляются головные боли, которые возникают в определённое время суток и проходят в течение получаса.
С развитием болезни головные боли становятся постоянными. К ним добавляются рвота, отсутствие аппетита, снижение массы тела, повышенная температура и воспаление лимфоузлов. Также наблюдаются повышенная утомляемость, нервозность и снижение работоспособности. Продромальный период длится от одной недели до двух месяцев, и симптомы усиливаются по мере прогрессирования болезни. На этой стадии важно обратиться к врачу и сделать рентген легких, чтобы предотвратить распространение бактерий и облегчить дальнейшее лечение.
На второй стадии туберкулез раздражает нервные окончания мозговых оболочек. У пациента наблюдается напряженность мускулатуры в затылочной области, непереносимость света и шума, головокружение и рвота. Этот период начинается через 1-2 недели после первой стадии. Больной может испытывать угнетенное состояние и остро реагировать на раздражители. Появляются нарушения зрения и паралич века. Головные боли становятся локальными, чаще в лобной и затылочной областях. Симптомы могут варьироваться в зависимости от пораженной области мозга и включают тошноту, озноб и повышение температуры.
На следующей стадии развивается парез мышц, а в критических случаях — паралич. У пациента нарушаются функции нервной системы, происходят необратимые изменения в тканях мозга, развивается ишемия, и ткани теряют свои функции. Пациент может находиться в изменённом сознании, развиваются психические расстройства и потеря сознания. Если болезнь достигает терминальной стадии, восстановление тканей становится невозможным, нарушается деятельность мозговых центров, что может привести к инвалидности и летальному исходу.
Стадии развития туберкулеза мозга
Стадии развития туберкулеза имеют различную симптоматику, которая обычно усиливается. Врачи-фтизиатры выделяют три стадии заболевания:
- Продромальная стадия. Симптомы не выражены ярко и часто проявляются после других заболеваний. Люди с ослабленным иммунитетом имеют больший риск заражения.
- Вторая стадия – раздражение. На этом этапе происходит раздражение нервной системы, возникает непереносимость яркого света и громких звуков. Человек остро реагирует на любые раздражители, а туберкулезный процесс начинает развиваться быстрее. Если на этой стадии провести диагностику и начать лечение, можно избежать серьезных осложнений.
- Терминальная стадия. Она характеризуется поражением центральной нервной системы и развитием патологического процесса. На этой стадии в тканях происходят необратимые изменения, и человек уже не сможет вернуться к полноценной жизни.
Симптомы туберкулеза головного мозга у детей
Организм детей более уязвим к внешним воздействиям из-за незрелости иммунной системы. После контакта с носителем туберкулезной инфекции инкубационный период у ребенка может быть значительно короче, а иногда и отсутствовать. Инфекция быстро распространяется, достигая головного мозга, что увеличивает риск развития туберкулезного менингита с серьезными последствиями.
Симптомы, на которые родителям стоит обратить внимание:
- Ребенок становится капризным, плаксивым и отказывается от еды.
- У малыша наблюдается повышенная бледность и потливость.
- Температура тела выше нормы.
- Потеря веса из-за отсутствия аппетита.
- Беспокойный сон.
- Жалобы на головокружение и головные боли.
- Ригидность мышц и снижение мышечного тонуса.
При появлении одного или нескольких симптомов необходимо срочно обратиться к врачу. Специалист назначит анализы. Детям до 14 лет нельзя проводить флюорографию, поэтому для них разработан тест Манту, который показывает наличие микробактерий в организме. При положительной реакции следует как можно скорее пройти обследование и начать лечение.
Лечение у взрослых
Взрослым с подозрением на туберкулез назначают лабораторные исследования мочи и крови, флюорографию, кожный тест (аналог Манту) и осмотр лимфоузлов фтизиатром. Также проводится анализ мокроты на наличие туберкулезных бактерий. Результаты анализов мочи и крови помогают определить наличие инфекции.
Открытая форма туберкулеза передается воздушно-капельным путем, поэтому больные должны быть изолированы. Лечение зависит от стадии заболевания, и пациента помещают в стационар для наблюдения и терапии.
Терапия осложняется устойчивостью бактерий к противотуберкулезным препаратам, поэтому перед началом лечения проводят исследование на выявление устойчивых штаммов. На основе микробиологических данных назначаются препараты, в первую очередь изониазид, который снижает количество туберкулезных клеток. Для облегчения болей применяются анальгетики, а также назначаются иммуномодулирующие средства для повышения сопротивляемости организма. При тяжелом течении могут быть прописаны гормональные препараты.
Неврологи подбирают лекарства для восстановления функций мышц и поврежденных нервов. Терапия включает физиотерапию, дыхательную гимнастику и витамины С и В. Для предотвращения рецидивов анализы проводятся на промежуточных этапах лечения.
При туберкулезе мозговых оболочек на терминальной стадии требуется хирургическое вмешательство для удаления очага поражения, как при опухоли. После операции пациенту необходима длительная реабилитация.
Профилактика туберкулеза мозга
Туберкулез головного мозга — серьезное заболевание, которое может привести к тяжелым последствиям. При своевременной диагностике и лечении можно избежать осложнений. Важно следить за состоянием здоровья и обращаться к специалистам при первых симптомах. После лечения на ранних стадиях жизни можно вернуться к полноценной активности. Запущенная форма болезни может вызвать осложнения, повреждение нервной системы и инвалидность.
Профилактика включает здоровый образ жизни, сбалансированное питание, физическую активность и прием витаминов. Необходимо укреплять иммунитет и заботиться о здоровье. Детей следует приучать к закаливанию и информировать о путях передачи заболевания. Последствия туберкулеза головного мозга можно предотвратить, если не допустить перехода болезни в хроническую стадию.
Туберкулез головного мозга — инфекционное заболевание, поражающее оболочки головного мозга, сам мозг и центральную нервную систему. Патогенным возбудителем являются палочка Коха и другие туберкулезные микобактерии.
Классификация
Патология может проявляться в двух формах:
- туберкулёзный менингит;
- солитарный туберкул.
При туберкулёзном менингите воспалительный процесс затрагивает одну из мозговых оболочек. Обычно это заболевание развивается вторично или одновременно с поражением других органов.
Солитарный туберкул представляет собой очаг воспаления в виде туберкулемы в головном мозге. Со временем туберкулема может перейти в гнойную стадию, образуя абсцесс. Чаще всего патология локализуется в мозжечке или стволе мозга.
По путям распространения туберкулёз головного мозга делится на:
- гематогенный;
- лимфагенный;
- периневральный.
По области поражения выделяют:
- базальную форму;
- конвекситальную форму;
- менингоэнцефалит;
- менингоэнцефаломиелит.
Симптомы и периоды
Клиническая картина туберкулёза головного мозга зависит от поражённой области и влияния воспаления или туберкулёмы на мозговые центры, а также от стадии заболевания.
Признаки туберкулёза мозга варьируются в зависимости от формы заболевания.
При туберкулёзном менингите выделяют три периода:
- продромальный
- период раздражения
- терминальный
Симптомы продромальной стадии туберкулёзного менингита включают:
- периодическую нарастающую головную боль, мигрень;
- тошноту;
- лихорадку;
- незначительное повышение температуры;
- общее недомогание;
- апатию;
- отсутствие аппетита;
- снижение жизненного тонуса и работоспособности.
Эти проявления связаны с активностью патогенных микобактерий и интоксикацией организма их продуктами. Продромальный период длится от нескольких дней до 2 месяцев.
Период раздражения начинается через 7-14 дней после продромального. Он характеризуется раздражением мозговых оболочек и нервных окончаний.
Симптомы этого периода:
- головные боли общего и местного характера, связанные с локализацией туберкулёзного поражения;
- рвота и тошнота;
- повышенная чувствительность к внешним раздражителям, светобоязнь;
- гиперемия кожных покровов (крупные красные пятна на груди и лице);
- повышение температуры;
- напряжённость в затылочной области.
В терминальном периоде наблюдаются симптомы, вызванные поражением мозговых центров:
- утолщение стенок сосудов, что приводит к сужению просвета и недостаточному обеспечению мозга кислородом;
- развитие пареза мышц, возможен полный паралич;
- нарушения работы глазных и слуховых нервов;
- расстройства функции органов зрения (неравномерное расширение зрачков без реакции на свет, косоглазие).
Изменения в тканях мозга могут вызывать психические отклонения. У пациента могут наблюдаться частичная или полная потеря памяти, нарушения поведения, мышления и восприятия, а также потеря сознания.
Если заболевание достигло терминальной стадии, восстановление тканей мозга и повреждённых центров становится невозможным. Пациент часто остаётся инвалидом на всю жизнь, возможен летальный исход.
Для солитарной туберкулы характерны следующие симптомы:
- рост внутричерепного давления;
- на фоне этого возможны тошнота и рвота.
У детей раннего возраста при данной форме болезни увеличивается размер черепа. При развитии туберкулемы в головном мозге могут возникать судороги и параличи.
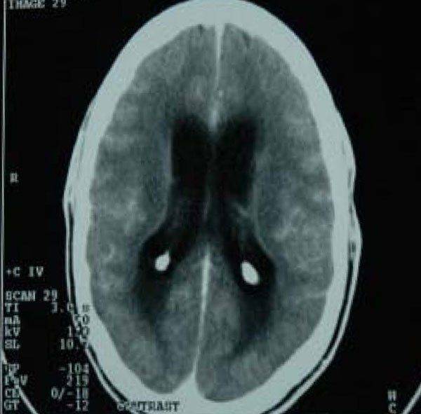
Диагностика
Из-за схожести симптомов с поражениями головного мозга другой природы необходима тщательная дифференциальная диагностика. Сначала изучается анамнез пациента и выясняются причины туберкулёза. Проводятся лабораторные анализы крови, мочи, мокроты и других жидкостей для выявления микобактерий. Для точного определения поражения головного мозга микобактериями выполняется пункция ликвора.
Чтобы установить стадию болезни, область и степень поражения, проводят рентгенографию и ультразвуковые исследования. При возникновении сомнений в диагнозе могут быть назначены КТ или МРТ.
Во время лечения также необходима диагностика для оценки правильности выбранной схемы терапии и динамики заболевания. Анализы и исследования проводятся на каждом этапе лечения, а также после его завершения для мониторинга возможных осложнений и последствий.
Лечение
Лечение туберкулёзной болезни мозга проводится только в стационаре под постоянным медицинским контролем. Терапия всех форм туберкулёза основывается на препарате Изониазид, который может вводиться в виде таблеток или инъекций.
Изониазид быстро накапливается в организме и преодолевает гематоэнцефалический барьер головного мозга. Если пациент находится в коме и наблюдается отрицательная динамика, в пространство между мозговыми оболочками вводят хлорный калиевый стрептомицин. Если Изониазид неэффективен или вызывает аллергию, применяются другие препараты, чаще всего Этамбутол или Рифампицин.
Кроме основного лечения, пациенту назначают симптоматическую терапию. Для уменьшения головной боли используются анальгезирующие препараты, не вызывающие зависимости.
В первые два-три месяца больному необходим строгий постельный режим и полный покой. Позже врач может назначить физиотерапию и лечебную физкультуру для ускорения восстановления.
Прогноз и последствия
В отсутствие лечения летальный исход неизбежен. При своевременной терапии исход зависит от стадии заболевания и его прогрессирования. Медицина предлагает широкий спектр методов лечения туберкулёза, что способствует благоприятному прогнозу.
Одним из серьёзных осложнений туберкулёза мозга является гидроцефалия, вызванная васкулитами и размягчением тканей в поражённой области, что приводит к образованию спаек в мозговых оболочках.
https://youtube.com/watch?v=948RKVgU_Z4
Причины и профилактика
Микобактерии могут преодолеть гематоэнцефалический барьер при определенных условиях, таких как снижение общего и местного иммунитета. Контакт с больным туберкулезом также важен, как и социальные факторы: плохие условия жизни, употребление алкоголя и наркотиков, неполноценное питание. Тяжелые инфекционные заболевания у пациента могут дополнительно способствовать развитию туберкулеза головного мозга.
Профилактика включает ведение здорового образа жизни, отказ от вредных привычек (алкоголь, никотин, наркотики), полноценное питание и укрепление иммунной системы, а также избегание контактов с больными туберкулезом.
Туберкулез — одно из самых распространенных хронических инфекционных заболеваний, вызываемое микобактериями (палочками Коха). Наиболее известен туберкулез легких, но заболевание может поражать костную ткань, почки, суставы и другие органы. Обычно туберкулез затрагивает легкие, реже — другие органы. Заболевание имеет вялое течение: от инфицирования до появления клинических симптомов могут пройти годы или даже десятилетия. Некоторые люди всю жизнь являются носителями палочки Коха, не подозревая об этом. Однако у каждого десятого пациента болезнь может активироваться, приводя к серьезным нарушениям здоровья.
Туберкулез: симптомы, первые признаки, способы передачи.
Пути передачи
Фтизиатрия — это раздел клинической медицины, который изучает механизмы передачи и развитие туберкулеза. Существует четыре основных пути передачи этой болезни: воздушно-капельный, контактно-бытовой, алиментарный и трансплацентарный.
Внимание! Источниками заражения являются только люди с открытой формой туберкулеза.
Предпосылки к развитию туберкулеза
| Анамнез | Предпосылки к развитию патологии | Неспецифические предпосылки |
|---|---|---|
| Наследственная предрасположенность | Контакт с инфицированными, детский туберкулез легких, бронхов или гортани | Частые простуды, бронхиальная астма |
| Перенесенные заболевания | Вирусные или бактериальные инфекции дыхательных путей, пневмонии | Длительные тяжелые операции, хронические нарушения ЖКТ |
| Проживание в неблагоприятных условиях | Жизнь в районах Крайнего Севера | Не установлены |
| Работа в неблагоприятных условиях | Работа в туберкулезных диспансерах, на заводах по производству асбеста, кремния, ядовитых веществ | Ночная работа, переутомление, стрессы |
Заражение туберкулезом
Воздушно-капельное заражение
Воздушно-капельный путь передачи палочки Коха — самый распространенный способ инфицирования. Более 95% больных туберкулезом легких заразились именно так. Высокая контагиозность заболевания объясняется следующими факторами:
- При кашле и чихании больной с открытой формой туберкулеза распространяет палочки Коха на расстоянии 1-2 метра.
- За один приступ кашля пациент выделяет в среднем от 3 до 5 тысяч микобактерий.
- Микобактерии, выделенные с мокротой, высыхают, но остаются жизнеспособными в течение нескольких месяцев и даже лет.
- Эпителиальные оболочки наиболее уязвимы к воздействию бактерий. При вдохе микобактерии быстро проникают в слизистые.
- При дыхании палочки могут попасть непосредственно в легкие с воздушными массами.
Пути инфицирования туберкулезом
Внимание! Легочный туберкулез — самая распространенная форма заболевания, встречающаяся у большинства пациентов.
Контактно-бытовое заражение
При контактном инфицировании возбудитель попадает в организм через общие средства гигиены или предметы быта. В редких случаях инфекция может развиться после незащищенного полового акта с инфицированным, поцелуев или при попадании зараженной крови на кожу и слизистые оболочки здорового человека. Для внедрения возбудителя контактным путем необходимы следующие факторы:
- Ослабленная иммунная система: хронические заболевания, ВИЧ или СПИД, аутоиммунные нарушения, недавние тяжелые инфекции или операции.
- Повреждения кожи или слизистых: раны, царапины, язвы и т. д.
- Длительный контакт с зараженным: уход за ним, продолжительное пребывание в одном помещении, сексуальные контакты и т. д.
Развитие туберкулеза легких
Внимание! Женщины более подвержены инфицированию патогенными микроорганизмами во время коитуса, чем мужчины, из-за большей площади слизистых оболочек женских половых путей.
Пищевое заражение
Случаи пищевого заражения палочкой Коха встречаются редко. Источниками инфекции являются свиньи и крупный рогатый скот, чье молоко или мясо употребляется в пищу. Чтобы избежать заражения, следуйте рекомендациям:
- Перед покупкой мясных продуктов требуйте у продавца сертификат качества.
- Тщательно проваривайте или жарьте мясные изделия.
- Кипятите молоко, купленное на рынках или фермерских ярмарках, перед употреблением.
Внимание! Не покупайте мясо и молоко, если не уверены в их качестве. В этих продуктах могут содержаться не только палочки Коха, но и актиномицеты, личинки гельминтов и другие возбудители заболеваний.
Трансплацентарное заражение
При трансплацентарном инфицировании патогенные бактерии проникают в организм ребенка через плаценту во время эмбрионального развития. Этот путь заражения встречается крайне редко. Если плоду передаются возбудители туберкулеза, вероятность нормального развития эмбриона значительно снижается.
Пути заражения туберкулезом
Внимание! Женщинам с туберкулезом необходимо пройти курс терапии для нейтрализации микобактерий и восстановления здоровья перед планированием беременности.
Первые признаки
Клинические симптомы туберкулеза появляются после распространения микобактерий с кровью и их поражения здоровых тканей.
Первые признаки болезни часто напоминают острые вирусные или бактериальные инфекции. Пациенты отмечают сонливость, утомляемость и слабость. Часто наблюдается субфебрильная температура, достигающая 37,2-38°C.
Состояние больного постепенно ухудшается: уменьшается аппетит, быстро снижается масса тела. Кожа становится бледной, сухой и тонкой, на щеках появляется лихорадочный румянец.
Внимание! Характерный признак туберкулеза – ночная лихорадка. Вечером пациенты жалуются на озноб, головную боль и нарушения сна.
При разрушении легочной ткани возникает сухой лающий кашель, который проявляется ночью или утром после пробуждения. В зависимости от типа заболевания могут появляться и другие симптомы.
Видео — Самые опасные симптомы туберкулеза
https://youtube.com/watch?v=jS_J5X936aE
Симптоматика туберкулеза легких
Поражение легких — наиболее распространенная форма туберкулеза. Заболевание проявляется кашлем и нарушением дыхательной функции.
У пациентов с туберкулезом легких наблюдаются следующие симптомы:
-
Кашель. Сначала возникает сухой кашель, преимущественно утром и ночью. Со временем он становится более частым и может длиться от нескольких минут до получаса и более. При прогрессировании заболевания появляется мокрота, которая изначально прозрачная и жидкая, а затем становится слизистой с кровянистыми включениями. Внимание! Длительный кашель с лихорадкой — один из характерных признаков туберкулеза.
-
Боли в груди. Разрушение легочной ткани вызывает неприятные ощущения в грудной клетке. На ранних стадиях боли возникают только после физической нагрузки или глубокого вдоха. Позже они могут появляться даже в покое и усиливаться при кашле.
-
Лимфаденопатия. На начальных стадиях увеличиваются лимфатические узлы в области подмышек, шеи и живота. С прогрессированием туберкулеза этот симптом становится генерализованным.
Симптоматика при туберкулезе костей и суставов
При данной форме туберкулеза поражается опорно-двигательный аппарат. Микобактерии разрушают костную и хрящевую ткань, формируя гранулемы в позвонках, коленных и локтевых суставах. Эти гранулемы представляют собой инфильтрат с гнойным экссудатом.
С развитием заболевания возникают следующие патологические симптомы:
- Чувство тяжести и дискомфорта в области позвоночника и суставов. Этот признак проявляется на ранних стадиях туберкулеза. Неприятные ощущения усиливаются при физической нагрузке и уменьшаются в покое.
- Острые боли в пораженных костях и суставах. Разрушение тканей и поражение нервных окончаний вызывают интенсивный болевой синдром. При локализации процесса в позвоночнике у пациента может наблюдаться характерная осанка: сгорбленная спина и поднятые плечи, что частично снижает давление на пораженный участок.
- Общее нарушение самочувствия. Пациенты жалуются на резкие перепады настроения, головные боли, ухудшение памяти и снижение работоспособности. Часто возникает постоянная сонливость, а ночью — бессонница.
- Атрофия мышц. Гранулема разрушает как костную, так и окружающую мышечную ткань. Ограничение подвижности суставов и костей приводит к гипотонусу мышц и развитию атрофии.
- Формирование свища. Гранулема заполняется гноем и увеличивается в размерах. Кожа над ней гиперемирована, воспалена и отечна. В большинстве случаев в области разрушенного сустава или кости образуется свищ, из которого выделяется сероватый жидкий гнойный экссудат.
Туберкулезное поражение ребер и туберкулезный пандактилит
Внимание! Образование свища представляет собой опасное состояние, так как на этом этапе велика вероятность распространения бактерий по организму или присоединения вторичной инфекции.
Симптоматика туберкулеза почек
Данная патология проявляется как местными, так и общими признаками инфекционного процесса. Туберкулез почек изначально характеризуется стертыми клиническими симптомами: неприятными ощущениями в пояснице, ознобом и дизурией — нарушением мочеиспускания.
Со временем у пациента возникают интенсивные боли в нижней части спины, ноющего или режущего характера. Эти боли связаны с разрастанием гранулемы в тканях почки и обычно имеют приступообразный характер, напоминающий почечную колику.
Общие симптомы интоксикации развиваются из-за быстрого размножения микобактерий и нарушения выведения урины. Больной жалуется на слабость, потливость и неприятный запах изо рта. Поскольку почки перестают нормально фильтровать мочу, у пациента могут появиться отеки, что приводит к увеличению массы тела и затрудняет постановку диагноза.
Симптоматика туберкулеза дермы
Туберкулез кожи — это группа заболеваний, возникающих из-за действия микобактерий. У всех этих патологий есть общие симптомы:
- везикулярная сыпь на коже;
- озноб и субфебрильная температура;
- положительная реакция на пробу Манту;
- зуд и болезненный отек кожи;
- снижение массы тела.
Туберкулез — это заболевание, вызванное поражением тканей организма микобактериями. Воспалительный процесс может затрагивать любые органы и ткани. Без своевременного лечения болезнь может привести к летальному исходу. При появлении тревожных симптомов необходимо обратиться к специалисту.
Source: med-explorer.ru


