Головные боли — одно из самых распространенных недугов. При первых признаках многие спешат принять болеутоляющие таблетки. Однако бывают случаи, когда таблетки не помогают, и люди не знают, что делать.
Причина безрезультатности лечения заключается в том, что головная боль часто является симптомом более серьезных заболеваний. Поэтому важно не просто устранять последствия, а выявлять и лечить источник проблемы.
Причины
Головная боль может возникать по разным причинам — от переутомления до серьезных заболеваний, требующих хирургического вмешательства. Чаще всего она не проходит по следующим причинам:
- стресс из-за конфликтов или волнения;
- чрезмерные физические нагрузки;
- ревматизм шейного отдела;
- злоупотребление алкоголем или табаком;
- перепады артериального давления;
- аллергия или отравление;
- побочные эффекты лекарств;
- метеозависимость.
Справиться с большинством этих факторов можно, изменив образ жизни, научившись спокойнее реагировать на трудности и сбалансировав рацион.
Однако в некоторых случаях этого недостаточно, и потребуется прием специализированных препаратов или помощь врача. Самолечение может ухудшить состояние или задержать получение необходимой медицинской помощи.
Врачи отмечают, что головная боль может быть симптомом следующих заболеваний:
- опухоль мозга;
- заболевания зубов;
- инфекции, вызванные паразитами и др.
Также выделяют виды головной боли, не связанные с другими патологиями:
- мигрень;
- кластерная головная боль.
Учитывая серьезность заболеваний, если головная боль сильная или повторяется ежедневно, и таблетки не помогают, необходимо как можно скорее пройти диагностику, чтобы избежать осложнений.
https://youtube.com/watch?v=zHOyxK0XNVk
Мигрень
Мигрень — заболевание, которое может длиться от нескольких часов до нескольких дней и часто имеет наследственный характер. Чаще всего от неё страдают женщины. Основные причины мигрени включают проблемы со сном, изменения гормонального фона, несбалансированное питание и сосудистые патологии. Боль обычно пульсирующая и локализуется на одной половине лица.
Симптомы, предшествующие мигрени, включают:
- раздражительность;
- замкнутость;
- рвоту или тошноту;
- чувствительность к яркому свету и шуму.
Для облегчения головной боли рекомендуется изменить рацион. Специалисты советуют исключить алкоголь, кофе, цитрусовые, копченые продукты, шоколад, яйца и творог. Лучше всего при первых симптомах обратиться к врачу для полной диагностики и назначения лечения. Если такой возможности нет, можно попробовать следующие народные средства:
- лимонная корка, прикладываемая к вискам;
- свежевыжатый картофельный сок;
- настойка из листьев клевера;
- сок черной смородины, принимать 3-4 раза в день;
- массаж висков с мятным маслом.
Для профилактики рекомендуется выпивать стакан сыворотки или простокваши каждый день перед завтраком.
Кластерная боль
Заболевание похоже на предыдущее, но отличается меньшей площадью болезненной области и обычно возникает в одной точке головы. Чаще всего оно наблюдается у мужчин атлетического телосложения, которые имеют квадратную форму лица, раздвоенный подбородок и светлые глаза. У детей этот вид головной боли не встречается.
Кластерная боль острее мигренозной. Она сопровождается ощущением жжения в области бровей и резью в глазах. Боль может распространяться на уши, челюсть или виски. Длительность приступов варьируется от нескольких десятков минут до нескольких часов, а в некоторых случаях они могут исчезать на длительный срок. Симптомы заболевания включают:
- раздражительность;
- слезотечение и покраснение глаз;
- бледность;
- тошноту;
- заложенность носа;
- потливость.
Возможной причиной боли является изменение гормонального фона, связанное с нарушением работы гипоталамуса.
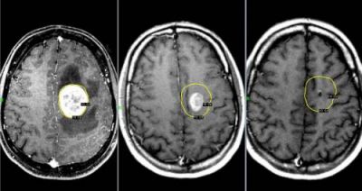
Опухоль мозга
Это новообразование возникает в тканях мозга и может быть злокачественным или доброкачественным. Доброкачественную опухоль можно вылечить без операции. Злокачественная опухоль растет быстро и дает метастазы, что затрудняет лечение, особенно на поздних стадиях.
При этом заболевании боль постоянная, усиливающаяся при движении. Наиболее сильные боли возникают утром и ночью из-за накопления жидкости в тканях. Боль имеет давящий и пульсирующий характер.
Кроме головной боли, могут появляться и другие симптомы:
- приступы рвоты;
- головокружение;
- проблемы со зрением;
- нарушение координации движений;
- онемение конечностей;
- нарушения памяти;
- потеря сознания;
- постоянная усталость.
Лечение на ранних стадиях имеет гораздо больше шансов на успех, чем на поздних. Поэтому важно не откладывать визит к врачу, от этого может зависеть жизнь пациента. Обычно назначаются лучевая терапия и медикаменты. В некоторых случаях требуется хирургическое вмешательство. Народные средства неэффективны и могут лишь ослабить симптомы.
Отравление
Иногда боль возникает из-за интоксикации. Это может произойти, например, из-за испарений токсичных веществ из одежды или мебели. Чтобы устранить боль, достаточно избавиться от этих предметов. Однако чаще всего головная боль связана с пищевым отравлением. При подозрении на такое расстройство необходимо:
- промыть желудок;
- принять активированный уголь;
- выпить слабительное.
Эти меры помогут вывести вредные вещества из организма, и боль уменьшится или исчезнет. Таблетки от головной боли в случае отравления неэффективны. При алкогольном отравлении рекомендуется выпить немного апельсинового сока или минеральной воды.
Перепады давления
Нестабильное артериальное давление может вызывать головные боли, головокружение и даже инсульт. При возникновении этой проблемы обязательно обратитесь к специалисту. Он выявит причину колебаний давления и назначит необходимые препараты.
Больные зубы
Зубная боль может сопровождаться головной болью. Важно в первую очередь обратиться к стоматологу для решения проблемы с зубами. Для облегчения состояния можно использовать отвары из следующих трав:
- мята душистая;
- липа;
- шалфей;
- цветы ромашки;
- тысячелистник.
Перед употреблением настойку нужно охладить до комнатной температуры, так как слишком горячая или холодная жидкость может усугубить симптомы.
Стресс и депрессия
Стресс, конфликты, волнение и депрессия часто вызывают головную боль. Важно успокоиться, отвлечься от проблемы и расслабиться. Иногда достаточно принять легкое болеутоляющее и настойку валерианы. Главное — хорошо выспаться.
Для профилактики рекомендуется чаще проветривать помещения, менять рабочую позу каждые полчаса и делать зарядку. Массаж головы также может быть полезен. Не стоит пренебрегать психологической помощью. После консультации у специалиста человек может пересмотреть свои взгляды на проблемы. В сложных случаях могут назначаться антидепрессанты или снотворные препараты.
Паразиты
Сильная головная боль, не поддающаяся лечению таблетками, может быть вызвана паразитами, выделяющими токсины. Недомогание исчезнет после избавления от этих нежелательных организмов. Для выявления паразитов в организме необходимо сдать анализы в медицинском учреждении.
При положительном результате врач назначит соответствующие препараты и процедуры. Самолечение может усугубить ситуацию, так как некоторые средства могут быть опасны.
Методы лечения
Не всегда при головной боли нужно сразу принимать лекарства. Это может вызвать привыкание и даже усилить боль. Лучше сделать легкий массаж головы: лба, висков и затылка. Затем полезно прогуляться на свежем воздухе. Травяной чай с мятой или пустырником также поможет, а кофе лучше избегать.
На работе старайтесь чаще менять позы, используйте настольные лампы и регулярно проветривайте помещение. По возвращении домой примите контрастный душ и выпейте кружку молока с медом. Если это не помогло, можно принять обезболивающее, но не чаще раза в неделю, чтобы избежать привыкания.
Следующие рекомендации помогут снизить боль или предотвратить ее появление:
- Не допускайте переохлаждения головы, носите шапку или головной убор.
- Узнайте причину недуга, проконсультировавшись со специалистом.
- Старайтесь сохранять позитивный настрой и избегать депрессии.
- Здоровый сон — залог вашего здоровья.
- Не забывайте о прогулках на свежем воздухе.
- При сильной боли избегайте резких движений и неприятных запахов.
- Уменьшите частоту приема болеутоляющих средств.
https://youtube.com/watch?v=9fZfRpoOnIo
Народные средства
При головной боли полезны боярышник и душица с лимоном. Для приготовления отвара добавьте столовую ложку одной из трав, лимон и по желанию ложку меда в кипящую воду. Дайте настояться, затем принимайте по 50 мл за 15 минут до еды 2-3 раза в день. Популярным народным средством также являются ванны с настоями ароматных трав и мелиссы.
Заключение
Если головная боль беспокоит вас часто, а обычные обезболивающие не помогают, обязательно запишитесь на прием к врачу. Правильное и своевременное лечение с использованием подходящих препаратов поможет избежать осложнений. Чаще всего боли возникают из-за стресса и перенапряжения, но рисковать не стоит — на кону ваше здоровье, а в некоторых случаях даже жизнь.
Головная боль, которую не удается устранить обезболивающими, может быть вызвана различными причинами — от стресса до онкологического заболевания. Не стоит принимать несколько таблеток в надежде избавиться от мигрени. Это может усугубить состояние и отнять время для лечения.
Если болевые ощущения не проходят, обратитесь к врачу.
Причины возникновения боли
*Мигрени*
Эта болезнь наследственная, чаще встречается у женщин, реже — у мужчин. Полностью вылечить мигрень невозможно, но временно облегчить симптомы — реально. Провокаторами могут быть нехватка сна, гормональные сбои, неправильное питание и сосудистые заболевания.
*Клиническая картина*
Боль локализуется в одной части головы и пульсирует. Она сильная, сопровождается тошнотой, возможна рвота, светобоязнь и непереносимость звуков.
Приступ длится от 2-3 часов до суток.
*Вмешательство врача*
Лечение назначает терапевт.
*Диагностика*
Диагноз мигрени ставится на основе симптомов, о которых сообщает пациент.
*Лечение*
Пациентам рекомендуется изменить рацион. Необходимо исключить алкоголь, апельсины и другие цитрусовые.
Запрещены копчёные блюда, шоколад и продукты с глутаматом натрия.
Употребление яиц и творога также может провоцировать головные боли, поэтому их следует ограничить.
Пациентам рекомендуется отказаться от кофе. Максимум — одна кружка в день.
Мнение эксперта
Приходько Аркадий Аркадьевич
Врач-ревматолог, городская поликлиника, Москва.
Образование: ФГБНУ НИИР им. В.А. Насоновой, Астраханская государственная медицинская академия.
Лечение медикаментами (триптанами) для устранения мигрени назначает только врач.
Кластерные боли
Болезнь похожа на мигрень, но боль более локализована. Обычно она проявляется в одной и той же точке. Как и мигрень, кластерные боли имеют наследственную природу. Заболеванию подвержены как мужчины, так и женщины, но чаще всего оно встречается у мужчин с атлетическим телосложением и вредными привычками. Ученые отметили, что заболевшие часто имеют светлые глаза, квадратное лицо и раздвоение подбородка.
Однако болезнь практически не встречается у детей.
*Клиническая картина*
Боль острая, может ощущаться как жжение или печение. Обычно она локализуется в области надбровных дуг и сопровождается резью в глазах, иррадиируя в уши, виски и челюсть.
Во время приступа может возникнуть нервная дрожь глазного яблока, сильное потоотделение, бледность кожи, тошнота и заложенность носа. Чем сильнее боль, тем больше слезятся и краснеют глаза. Пациент испытывает раздражение от боли, что ухудшает качество жизни. У некоторых людей могут возникать суицидальные мысли.
Приступы могут длиться 10-15 минут и повторяться несколько раз в день, после чего может наступить длительная ремиссия, иногда до года. Причины такой периодичности неизвестны, поэтому лечение направлено на удлинение сроков ремиссии.
*Вмешательство врача*
Рекомендуется консультация невропатолога.
*Диагностика*
Причины возникновения патологии могут быть разнообразными — от травм челюсти и черепа до повышенного артериального давления.
Мнение эксперта
Филимошин Олег Александрович
Врач-невролог, городская поликлиника г. Оренбурга.
Образование: Оренбургская государственная медицинская академия.
Пациенту следует подробно рассказать врачу о симптомах, чтобы тот мог точно определить причину боли и назначить лечение. Для диагностики применяются МРТ, ангиография сосудов и рентген шейного отдела позвоночника.
*Лечение*
Лечение заболевания комплексное и включает:
- Прием медикаментов (триптаны, спреи и капли на основе дигидроэрготамина, обезболивающие, стероидные блокаторы, гормональные препараты, транквилизаторы).
- Кислородные ингаляции.
- Охлаждающие компрессы со льдом.
- Иглоукалывание.
Вирусный артериит
Это редкая патология сосудов, поражающая сонную артерию, обычно проявляющаяся в форме височного артериита. При этом нарушается кровоснабжение мозга из-за сужения аорты.
При развитии заболевания возможно перекрытие кровотока к голове.
*Клиническая картина*
Головные боли пульсирующие, часто иррадиируют в челюсть. Пациент ощущает постоянную усталость, лихорадку, снижение веса и боли в мышцах.
Сужение артерий приводит к кислородному голоданию тканей, что может вызвать слепоту или инсульт. При воспалении сосудов часто болят руки.
*Вмешательство врача*
Лечением занимаются хирурги и флебологи.
*Диагностика*
Диагностика заболевания проводится с помощью анализа крови и биопсии артерий.
*Лечение*
Цель лечения — устранение воспалительного процесса в артериях.
- Для этого применяют Кортизон (орально или инъекциями). Терапия может иметь побочные эффекты, такие как потоотделение, синяки, отеки и прибавка в весе.
- Аспирин разжижает кровь, предотвращая ее сворачивание в артериях и снижая риск инсульта и слепоты.
- Частая терапия может провоцировать остеопороз, поэтому пациентам рекомендуется принимать кальций и витамины. Женщинам может потребоваться дополнительное лечение Актонелем и эстрогенами.
Опухоли мозга
Это новообразования, локализующиеся в тканях мозга. Они могут быть доброкачественными или злокачественными. Доброкачественные опухоли не метастазируют, имеют четкие границы роста и могут лечиться без операции, не вызывая рецидивов.
Злокачественные опухоли быстро прорастают в соседние ткани и могут образовывать метастазы в нескольких участках мозга.
Такие опухоли плохо поддаются лечению, и на поздних стадиях их развития спасти пациента практически невозможно.
*Клиническая картина*
Болевые ощущения постоянные и со временем усиливаются. При движении боль становится сильнее. Сначала она локализуется в области опухоли, затем, с увеличением внутричерепного давления, распространяется на лобную и затылочную части. Наибольший дискомфорт наблюдается ночью и утром из-за скопления жидкости. Вены не справляются с оттоком крови, что приводит к отечности и застойным явлениям. Боли могут быть давящими, распирающими или пульсирующими.
К головным болям может добавляться рвота. При физической нагрузке или кашле боль усиливается, может возникать двоение в глазах и временная потеря зрения. У пациента кружится голова, нарушается координация движений, могут неметь конечности и ослабевать мышцы.
Иногда наблюдаются эпилептические припадки и спутанность сознания.
*Вмешательство врача*
Необходима помощь терапевта, нейрохирурга, онколога и радиолога-онколога.
*Диагностирование*
Для диагностики используются МРТ, ПЭТ, КТ, ангиография и другие методы.
*Лечение*
* Для облегчения боли на ранних стадиях заболевания врачи рекомендуют мочегонные препараты и кортикостероиды, которые помогают снять отек и нормализовать кровоснабжение пораженного участка.
* Удаление опухоли с помощью лазера, эндоскопии и ультразвука.
* Иссечение опухоли, что является травматичным методом. Способы иссечения включают трепанацию черепа или удаление костных фрагментов.
Отравление
Голова может болеть из-за токсичных веществ в спирте, алкоголе и химических соединениях. Отравление возможно при контакте с некачественной мебелью, пищей и напитками.
*Клиническая картина*
Боль интенсивная и ноющая. Пациент ощущает недомогание, слабость и сонливость. Может возникать тошнота и рвота.
*Вмешательство врача*
Необходима помощь терапевта, который направляет пациента к инфекционисту или гастроэнтерологу. В тяжелых случаях требуется скорая помощь от токсикологов и реаниматологов.
*Диагностика*
Заболевание диагностируется на основе беседы с пациентом и анализов мочи и крови. Это помогает определить вещество, вызвавшее отравление, и установить правильный диагноз.
*Лечение*
- Экстренное промывание желудка для удаления токсинов из организма. Без этого лечение таблетками, купирующими боль, неэффективно.
- Прием абсорбирующих средств, таких как активированный уголь, для восстановления работы ЖКТ и выведения токсинов.
- Слабительные средства, которые вместе с промыванием желудка помогут быстро вывести токсины.
- При алкогольном отравлении эффективен Антипохмелин.
- Если пациент без сознания, устанавливают капельницу с медикаментами, которые нейтрализуют токсины и способствуют их выведению.
К какому врачу обращаться?
Пациенту необходимо сначала посетить терапевта. После беседы и простых анализов врач поставит диагноз и направит к нужному специалисту.
В зависимости от причины головных болей, лечением займутся невропатолог, нейрохирург, флеболог, хирург, гастроэнтеролог и другие специалисты.
В каком случае нужно немедленно к врачу?
- Внезапные боли, сопровождающиеся тошнотой и рвотой. При головокружении также следует обратиться к врачу.
- Срочно обращайтесь к врачу, если, помимо боли, наблюдаются онемение тела или конечностей, двоение в глазах, нарушение координации движений, проблемы со зрением или повышенная температура.
- Если болевые ощущения сначала редкие и кратковременные, но со временем становятся частыми или резко усиливаются.
- Если боль локализуется в одной части головы или отдает в затылок.
- Если пациент старше 50 лет.
Чем еще можно облегчить состояние?
Если причиной боли стало переутомление или стресс, рекомендуется:
- Активно отдыхать.
- Больше спать.
- Чаще проветривать помещение.
- Не находиться долго в статичных позах.
- Массировать голову.
- Проводить ЛФК.
*Активный отдых*
Не стоит запираться дома после работы. Лучше гулять на свежем воздухе и давать телу физическую нагрузку. Прогулки в парке предпочтительнее, чем рядом с загазованными дорогами. Для расслабления подойдут велопрогулки и плавание.
*Полноценный сон*
Боли часто возникают из-за недостатка отдыха и сна. Рекомендуется спать не менее 7-8 часов в сутки. Полезной будет подушка с гречневой шелухой.
Перед сном желательно проветривать помещение.
*Массаж*
Голову можно массировать самостоятельно, не беспокоя домашних. Поставьте два пальца в ямочки за затылком и аккуратно массируйте пару минут. При сильной боли массируйте виски активными движениями. При хондрозах шейного отдела выполняйте массаж шейно-воротниковой зоны.
*Применение эфирных масел*
Для снятия острой боли и тревожности втирайте 2-3 капли мятного масла в область висков в течение 60 секунд.
*Расслабление глаз*
Современный человек много времени проводит за компьютером, что может вызывать головную боль. Регулируйте яркость монитора и давайте глазам отдыхать: чаще моргайте и закрывайте их на пару минут.
*ЛФК при головной боли*
- Сидя на стуле, расслабьте шею и наклоните голову к груди под её тяжестью. Держите 20 секунд, затем вернитесь в исходное положение. Повторите 10-15 раз.
- Встаньте, сложите руки в замок и прижмите большие пальцы к дугам скул, остальные пальцы охватывают затылок. Смотрите вверх, затем откиньте голову назад, преодолевая сопротивление пальцев. Держите 10 секунд, затем наклоните голову к груди, расслабляя её. Повторите 5 раз.
*Точечный массаж*
- Нащупайте точки, где локализуется боль в затылке, и аккуратно массируйте их по часовой стрелке 15 раз, затем зажмите на 1-2 минуты.
- Перейдите к основанию носа и надавите на точку, где начинается переносица и брови. Давите на неё 1-2 минуты.
- Массируйте точку между указательным и большим пальцем 1-2 минуты.
Из этого следует, что головную боль можно преодолеть, но не стоит злоупотреблять обезболивающими, не зная причины дискомфорта.
Дополнительно полезно ознакомиться со следующим видео.
Медикаменты могут маскировать симптомы, и пациент теряет время, которое можно потратить на лечение. Причины боли могут быть разнообразными. Если дискомфорт не проходит или возникает периодически, необходимо обратиться к врачу.





